PAXgene Tissue FIX Container (50 ml)

For fixation and stabilization of tissues specimens

S_3409_PAXgene_TissueFIXContainer_s
My QIAGEN
The place to manage all of your QIAGEN purchases, quotes, instruments, kits, subscriptions and service requests.

PAXgene Tissue FIX Container (50 ml) icon_0368_ls_gen_eco_friendly-s

Cat no. / ID.   765312

For fixation and stabilization of tissue specimen: 10 prefilled Reagent Containers containing 50 ml of PAXgene Tissue FIX
269,00 $AU
Log in To see your account pricing.
For Research Use Only. Not for use in diagnostics procedures. No claim or representation is intended to provide information for the diagnosis, prevention, or treatment of a disease.
My QIAGEN
The place to manage all of your QIAGEN purchases, quotes, instruments, kits, subscriptions and service requests.

Features

  • Preservation of both morphology and biomolecules
  • Fixation and paraffin embedding without formalin
  • Improved molecular results from fixed tissues
  • Tissue can be stored and archived for later processing
  • RNA, miRNA, DNA, and/or proteins from one sample

Product Details

The PAXgene Tissue FIX Container (50 ml) enables fixation and stabilization of tissue specimens (up to 4 samples with a maximum size of 4 x 15 x 15 mm placed into 4 standard tissue cassettes, or a single tissue sample with a maximum size of 20 x 20 x 20 mm). PAXgene Tissue FIX Containers (50 ml) are single-chamber containers prefilled with 50 ml of PAXgene Tissue FIX. PAXgene Tissue FIX rapidly penetrates and fixes the tissue, preserving tissue morphology. Fixation is comparable to formalin fixation, but without the destructive nucleic acid crosslinking and degradation. After fixation, PAXgene Tissue FIX is removed and replaced by PAXgene Tissue STABILIZER within the same container. Nucleic acids, proteins, and morphology of the sample are stable up to 7 days at room temperature, and for longer periods at 2–8°C, or even at –20°C and –80°C. Stabilized samples can be embedded in paraffin for histological studies. PAXgene Tissue Kits and supplementary protocols provide efficient subsequent purification of RNA, miRNA, DNA, and/or proteins from the same sample.
PAXgene Tissue FIX Container (50 ml) is only to be used in conjunction with PAXgene Tissue STABILIZER.

Performance

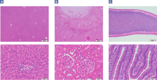
The fixation and stabilization method preserves tissue morphology and the integrity of nucleic acids without destructive crosslinking and degradation found in formalin-fixed tissues (see figure " Preservation of tissue morphology").
When fixed tissue is stored in PAXgene Tissue STABILIZER, the nucleic acids, proteins, and morphology of the tissue sample are stable for up to 7 days at room temperature (15–25°C) or for up to 4 weeks at 2–8°C. Tissue samples can even be stored in the PAXgene Tissue STABILIZER for longer periods at –20°C (–15°C to –30°C) or –80°C (–65°C to –90°C) without negative effects on the morphology of the tissue or the integrity of the nucleic acids.
Specifications for fixation and storage conditions in PAXgene Tissue FIX and PAXgene Tissue STABILIZER were determined using animal tissues. >

Principle

The methods for tissue fixation currently used in traditional histology are of limited use for molecular analysis. Fixatives that contain formaldehyde crosslink biomolecules and modify nucleic acids and proteins. Such crosslinks lead to nucleic acid degradation during tissue fixation, storage, and processing. Since they cannot be removed completely, the resulting chemical modifications can cause inhibition in downstream applications, such as quantitative PCR or RT-PCR. To enable both molecular and traditional pathology testing from the same specimen, a method is needed to stabilize molecular content and preserve morphology.
To meet this need, PreAnalytiX has developed the PAXgene Tissue System. The system consists of a fixation reagent (PAXgene Tissue FIX), a stabilization reagent (PAXgene Tissue STABILIZER), prefilled containers for tissue collection, storage, and transportation, and kits for purification of RNA, DNA, or total RNA, including miRNA. In addition, supplementary protocols for protein purification and other applications are available in the 'Resources' section of this page or at www.preanalytix.com.
PAXgene Tissue reagents in prefilled containers and PAXgene Tissue Kits provide a complete preanalytical solution for collection, fixation, and stabilization of tissue, and purification of high-quality nucleic acids for molecular research analysis.

Procedure

PAXgene Tissue FIX Containers (50 ml) are single-chamber containers prefilled with 50 ml of PAXgene Tissue FIX. PAXgene Tissue FIX Containers (50 ml) can accommodate four standard tissue cassettes (not provided), which can hold tissue samples with a maximum size of 4 x 15 x 15 mm. PAXgene Tissue FIX Containers (50 ml) also offer the possibility for direct fixation of larger tissue samples with a maximum size of 20 x 20 x 20 mm.
PAXgene Tissue FIX rapidly penetrates and fixes the tissue. After fixation for 2 to 48 hours, depending on tissue size, PAXgene Tissue FIX is removed and replaced by PAXgene Tissue STABILIZER within the same container. Stabilized samples can be embedded in paraffin for histological studies. Nucleic acids and proteins can be isolated from the stabilized samples before or after embedding in paraffin. See the PAXgene Tissue Kit Handbooks for information about DNA, RNA, or miRNA, and the PAXgene Tissue supplementary protocols in the 'Resources' section of this page or at www.preanalytix.com for protein purification and other applications.

Applications

Sections of PAXgene Tissue fixed, paraffin-embedded (PFPE) tissue can be used for histological studies or extraction of nucleic acids or proteins. Purification of RNA, total RNA, including miRNA, or DNA from PAXgene Tissue fixed and stabilized tissue samples requires the use of one of the PAXgene Tissue Kits for RNA, miRNA, or DNA. Purification of protein requires the Qproteome FFPE Kit.

Supporting data and figures

Resources

Scientific Posters (14)
Safety Data Sheets (1)
Supplementary Protocols (15)
Kit Handbooks (2)
For collection, fixation, and stabilization of multiple small tissue samples or a single large tissue sample

 

For stabilization of tissue specimens fixed in PAXgene Tissue FIX Container

 

Technical Information and Important Notes (2)
This note is to inform you that the street address for PreAnalytiX GmbH has changed from “Feldbachstrasse” to “Garstligweg 8”. Please be informed that the update of the product labeling to the new address is ongoing.
In order to reduce paper consumption and oblige the growing number of customers requesting an environmentally friendly alternative to traditionally printed handbooks, we are now providing kit handbooks for Research Use Only (RUO) PreAnalytiX kits on our website only.
Brochures & Guides (6)
For isolation and purification of genomic DNA from tissue samples stabilized using the PAXgene Tissue System 

 

Moving toward excellence and standardization in tissue collection and fixation

 

For extraction of full-length proteins from PFPE tissue using the Qproteome FFPE Tissue Kit

 

This fact sheet explains the inclusion of PAXgene Collection and Stabilization Products in our Go Greener program.
Certificates of Analysis (1)

Publications

Evaluation of colon cancer histomorphology: a comparison between formalin and PAXgene tissue fixation by an international ring trial.
Gündisch S; Slotta-Huspenina J; Verderio P; Ciniselli CM; Pizzamiglio S; Schott C; Drecoll E; Viertler C; Zatloukal K; Kap M; Riegman P; Esposito I; Specht K; Babaryka G; Asslaber M; Bodó K; den Bakker M; den Hollander J; Fend F; Neumann J; Reu S; Perren A; Langer R; Lugli A; Becker I; Richter T; Kayser G; May AM; Carneiro F; Lopes JM; Sobin L; Höfler H; Becker KF;
Virchows Arch; 2014; 465 (5):509-19 2014 Aug 2 PMID:25085759
Inactivation of Influenza A virus, Adenovirus, and Cytomegalovirus with PAXgene tissue fixative and formalin.
Kap M; Arron GI; Loibner M; Hausleitner A; Siaulyte G; Zatloukal K; Murk JL; Riegman P;
Biopreserv Biobank; 2013; 11 (4):229-34 2013 Aug PMID:24845590
Preservation of nucleic acids and tissue morphology in paraffin-embedded clinical samples: comparison of five molecular fixatives.
Staff S; Kujala P; Karhu R; Rökman A; Ilvesaro J; Kares S; Isola J;
J Clin Pathol; 2013; 66 (9):807-10 2013 Jun 8 PMID:23750036
The Genotype-Tissue Expression (GTEx) project.
GTEx Consortium;
Nat Genet; 2013; 45 (6):580-5 2013 Jun PMID:23715323
The PAXgene(®) tissue system preserves phosphoproteins in human tissue specimens and enables comprehensive protein biomarker research.
Gündisch S; Schott C; Wolff C; Tran K; Beese C; Viertler C; Zatloukal K; Becker KF;
PLoS One; 2013; 8 (3):e60638 2013 Mar 29 PMID:23555997

FAQ

What is the maximum tissue size that can be fixed in a PAXgene Tissue Container?

Fixation is performed within a standard tissue cassette. The maximum sample size is 4 x 15 x 15 mm, so that the sample fits in the cassette without requiring physical pressure to close the lid. The cassette should leave no marks or grid impressions on the tissue.

FAQ-2518
How long is the fixation time?
For samples up to 4 x 15 x 15 mm fixed in a standard tissue cassette, incubate tissue specimen(s) at room temperature (15–25°C) for a minimum of 2 hours, but preferably 3–24 hours. For samples up to 20 x 20 x 20 mm fixed in the PAXgene Tissue FIX Container (50 ml), incubate for 6–48 hours, but preferably 8–24 hours. For biopsies with a thickness of 1 mm or less, fixation time can be reduced to 1 hour. Prolonged fixation times of up to 120 hours (e.g. over the weekend) is possible. Please note that fixation longer than the indicated times may lead to degradation of biomolecules.
FAQ-2519
Is a special processing protocol needed?

To prevent biomolecule degradation during processing, dehydration must begin with at least 70–100% ethanol. We recommend using low-melting paraffin (melting point ≤56°C) and do not incubate samples in liquid paraffin for more than 3 hours.

Processing protocols for the PAXgene Tissue System are listed in the appendices of the PAXgene Tissue Container Product Circular and PAXgene Tissue FIX Container (50 ml) Product Circular.
FAQ-2523
Is it possible to archive PAXgene Tissue fixed, paraffin-embedded (PFPE) tissue blocks?

PFPE tissue blocks can be stored at 2–25°C for short-term storage or transport. However, biomolecules within paraffin blocks will undergo slow chemical degradation. To better preserve morphology and biomolecule integrity within the paraffin-embedded tissue, store PFPE blocks at–30°C to –15°C. For the latest results on long-term storage of PFPE and formalin-fixed, paraffin-embedded (FFPE) tissue, see poster RT-PCR Performance of RNA Obtained from Archived FFPE and PFPE Blocks of Tissue under the Product Resources tab.

FAQ-2524
Is it possible to embed PAXgene Tissue fixed and stabilized samples in Optimal Cutting Temperature (OCT) medium for freezing?
Yes. PreAnalytiX has developed a workflow and protocols for cryo-embedding tissue specimens fixed and stabilized in either the PAXgene Tissue Container or the PAXgene Tissue FIX Container (50 ml). A supplementary protocol for generating PAXgene® Tissue fixed, cryo-embedded (PFCE) tissues is available under the Product Resources tab.
FAQ-2525
Is the morphology after H&E staining comparable to formalin-fixed samples?

Yes. Comparable morphology was observed in adjacent pieces from a tissue sample fixed either with neutral-buffered formalin or with the PAXgene Tissue System for a variety of human and animal tissue (Gündisch et al., Virchows Arch. 2014 Aug; Kap et al., PLoS ONE 6(11): e27704). Examples are provided in the Tissue Atlas at www.preanalytix.com. PAXgene Tissue treated specimens have a tendency to be more eosinophilic. If an identical staining pattern to formalin-fixed samples is required, the incubation time in eosin should be reduced.

FAQ-2526
Can PAXgene Tissue fixed, paraffin-embedded (PFPE) tissue be used for in situ hybridization?

Yes, human tissue samples treated with the PAXgene Tissue System were successfully used for Fluorescence in situ hybridization (FISH) and Chromogenic in situ hybridization (CISH). However, specimens treated with the PAXgene Tissue System are more sensitive to enzyme digestion compared to formalin-fixed samples. Enzyme digestion and other pretreatment steps may need to be optimized. 

FAQ-2529
Can sections of PAXgene Tissue fixed, paraffin-embedded (PFPE) tissue be used for other histochemical staining techniques, such as PAS?

Human tissue samples treated with the PAXgene Tissue System were successfully used for periodic acid schiff (PAS), resorcin fuchsin, sirius red, and Gomori staining (Kap et al., PLoS ONE 6(11): e27704). However, to achieve the same staining intensities with both PFPE and formalin-fixed, paraffin-embedded (FFPE) samples, it may be necessary to adjust incubation times.

FAQ-2530
Is it possible to microdissect PAXgene Tissue fixed, paraffin-embedded (PFPE) and PAXgene Tissue fixed, cryo-embedded (PFCE) tissues?
Yes. Supplementary protocols for generating sections from PAXgene Tissue fixed, Paraffin-embedded (PFPE) and PAXgene Tissue fixed, cryo-embedded (PFCE) tissue blocks for manual and laser microdissection are available under the Product Resources tab.
FAQ-2531
What is the purity of nucleic acids extracted with the PAXgene Tissue kits?

The PAXgene Tissue DNA, RNA, and miRNA Kits are based on proven QIAGEN technologies. Nucleic acids isolated with these kits are generally of high purity.

On average, measurements of the A260/A280 ratio for DNA purified with the PAXgene Tissue DNA Kit are >1.7, and ratios for RNA and miRNA purified with the PAXgene Tissue RNA or miRNA Kits are both >1.8.

For examples of RNA purity see Technical Note "Yield, purity, and integrity of RNA purified from PAXgene Tissue fixed, paraffin-embedded (PFPE) rat tissue" under the Product Resources tab.

FAQ-2533
What is the average RNA yield from PAXgene Tissue fixed, paraffin-embedded (PFPE) tissue?

RNA yield depends on several parameters, such as tissue type, time from resection until fixation, fixation time (ideally 2 to 4 hours), processing protocol used and age and storage conditions of the PFPE block.

In a study with PFPE tissue sections (area: 100 mm²;  thickness: 10 µm) median RNA yield from rat liver was 4.2 µg (n=58), from kidney 2.2 µg (n=58), from spleen 4.7 µg (n=58), from intestine 4.7 µg (n=58) and from lung 0.9 µg (n=58) (see Technical Note "Yield, purity, and integrity of RNA purified from PAXgene Tissue fixed, paraffin-embedded (PFPE) rat tissue" under the Product Resources tab).

 

FAQ-2534
What is the RT-PCR performance of RNA purified from PAXgene Tissue fixed, paraffin-embedded (PFPE) and PAXgene Tissue fixed, cryo-embedded (PFCE) tissue compared to RNA from snap frozen or formalin-fixed, paraffin-embedded (FFPE) tissue?
The PAXgene Tissue fixation and stabilization chemistry is free of cross-linking reagents. RNA purified from PFPE and PFCE is free of chemical modifications and performs similarly or identically to RNA isolated from frozen tissue. For examples of the correlation of gene expression levels in snap frozen tissue, FFPE, and PFPE, see Figure 4 in Groelz et al., Exp Mol Pathol. 2013 Feb; 94(1) and Figure 3 in Viertler et al., J Mol Diagn. 2012 Sep; 14(5).
FAQ-2538
Which fixation method is used in the PAXgene Tissue System?
The PAXgene Tissue System uses an acidic alcoholic fixation without formalin that does not result in cross-linking of biomolecules.
FAQ-3600
What is the fixation reagent of PAXgene Tissue FIX?
The fixation reagent of PAXgene Tissue FIX contains alcohols and an acid, in addition to other stabilization agents.
FAQ-3601
What is the stabilization reagent of PAXgene Tissue STABILIZER?
The stabilization reagent of PAXgene Tissue STABILIZER contains alcohol and other stabilization agents.
FAQ-3602
Why are two reagents used in the PAXgene Tissue System?
The PAXgene Tissue System involves two processes: fixation and stabilization. PAXgene Tissue FIX provides rapid penetration and fixation that effectively stops all enzymatic activity throughout the tissue. PAXgene Tissue STABILIZER stops fixation and stabilizes the specimen for transportation and storage until processing.
FAQ-3603
What is the maximum tissue size that can be fixed in a PAXgene Tissue FIX Container (50 ml)?
Up to 4 standard tissue cassettes, each containing tissue samples with a maximum size of 4 x 15 x 15 mm, can be placed into a PAXgene Tissue FIX Container (50 ml). Alternatively, a single tissue sample with a maximum size of 20 x 20 x 20 mm can be fixed directly in a PAXgene Tissue FIX Container (50 ml). If using a larger tissue sample surrounded by fat (e.g., from a lymph node) or capsule (e.g., from kidney, liver or spleen tissue), partially cut into the tissue every 5 mm (lamination) to enhance permeation of the fixative reagent. If a sample is larger than recommended, the fast and even penetration of fixation reagent is compromised. In such cases, a reduction in the quality of tissue morphology and the integrity of nucleic acids may result.
FAQ-3604
Which conditions are recommended for the storage of tissues in PAXgene Tissue STABILIZER?
Depending on tissue type, standard storage conditions in PAXgene Tissue STABILIZER are a minimum of 2 hours and up to 7 days at room temperature (15–25°C) or up to 4 weeks at 2–8°C. For longer storage, samples can be kept in PAXgene Tissue STABILIZER at–15°C to –30°C or –65°C to –90°C. Long-term storage studies are ongoing. For latest results, see the poster RNA and Morphology Preservation after 5 years at –20°C and 3 years at –80°C under the Product Resources tab.
FAQ-3605
Is it possible to process formalin-fixed and PAXgene Tissue fixed samples together in one run?
Parallel processing of formalin-fixed and PAXgene Tissue fixed samples can lead to reduction of nucleic acid yield and integrity from PAXgene Tissue fixed samples through formalin contamination of reagents.
FAQ-3606
Is it necessary to clean a processor normally used for formalin-fixed tissue before using it with PAXgene Tissue fixed tissue?
No. Special cleaning is not required. However, be sure to change the alcohol and xylene (or xylene substitute), and keep separate batches of reagents for processing PAXgene Tissue fixed samples. Reagents contaminated with formalin can lead to reduced nucleic acid yields and integrity.
FAQ-3607
Is it possible to integrate the PAXgene Tissue STABILIZER into tissue processing?
Yes. PAXgene Tissue STABILIZER can be used to fill the first position of a tissue processor. See the appendices of the PAXgene Tissue Container Product Circular and PAXgene Tissue FIX Container (50 ml) Product Circular for processing protocols with integrated PAXgene Tissue STABILIZER. When the STABILIZER is included as the first step of a protocol, tissue can be transferred from PAXgene Tissue FIX directly into the first processing position.
FAQ-3608
Are immunohistochemistry (IHC) assays developed for formalin-fixed, paraffin-embedded (FFPE) tissues compatible with PAXgene Tissue fixed, paraffin-embedded (PFPE) tissues?
Most antibodies used in IHC assays were developed for use with formalin-fixed tissue and include steps for unmasking epitopes. When working with PAXgene Tissue treated specimens, test for each antibody to determine if it is necessary to perform antigen-retrieval steps. In addition, it may be necessary to optimize antigen-retrieval steps or adjust antibody concentrations in PFPE tissue to achieve optimal staining intensities (see Technical Note Effect of epitope retrieval conditions on immunohistochemical staining of PFPE tonsil tissue with anti-human Ki-67 antigen (clone MIB-1) under the Product Resources tab). Examples for IHC staining of adjacent human tissue sections fixed with neutral-buffered formalin or with PAXgene Tissue reagents are provided in the Tissue Atlas at www.preanalytix.com
FAQ-3609
Is it possible to use formalin-fixed, paraffin-embedded (FFPE) kits and protocols to isolate biomolecules from PAXgene Tissue fixed, paraffin-embedded (PFPE) tissue?
No. Procedures developed for the extraction of biomolecules from FFPE tissues include prolonged proteinase K digestion and heating steps to remove chemical modifications introduced by formalin. Since the PAXgene Tissue System does not chemically modify biomolecules, these steps are not necessary and, in fact, lead to degradation of biomolecules. Instead, use dedicated PAXgene Tissue kits and supplementary protocols for extraction of biomolecules from PAXgene Tissue treated samples.
FAQ-3610
How well is RNA integrity preserved in PAXgene Tissue fixed, paraffin-embedded (PFPE) tissue?
Similar to yield, RNA integrity depends on several parameters, such as tissue type, time from resection until fixation, fixation time, processing protocol, age and storage conditions of the PFPE block. For examples of RNA integrity values from rat tissues under ideal workflow conditions, see Groelz et al., Exp Mol Pathol. 2013 Feb; 94(1). For examples of RNA integrity from clinical samples, see Viertler et al., J Mol Diagn. 2012 Sep; 14(5).
FAQ-3611
How well is DNA integrity preserved in PAXgene Tissue fixed, paraffin-embedded (PFPE) tissue?
In contrast to DNA isolated from formalin-fixed, paraffin-embedded (FFPE) tissue, DNA from PFPE tissue exhibits high molecular weight. In most cases, a distinct 10 kb band is observed in electrophoretically separated DNA eluates. For an example, see Figure 2 in the Technical Note Quantitative analysis of KRAS and BRAF mutational status in DNA from PAXgene Tissue fixed, paraffin-embedded (PFPE) tissue using Pyrosequencing technology under the Product Resources tab.
FAQ-3612
What are the yield and integrity of nucleic acids isolated from blocks of PAXgene Tissue fixed, cryo-embedded (PFCE) tissue?
DNA and RNA isolated from PFCE tissue specimens are of high quantity and quality, comparable to PFPE tissue.
FAQ-3613
Are special kits and protocols required to isolate biomolecules from PAXgene Tissue fixed, cryo-embedded (PFCE) tissue?
Regular PAXgene Tissue Kits can be used for the extraction of RNA, miRNA and DNA from PFCE tissue. Supplementary protocols specifically developed for the extraction of biomolecules from PFCE samples are available under the Product Resources tab.
FAQ-3614
Does the PAXgene Tissue RNA Kit co-purify small RNAs?
Yes, there is co-purification of small RNAs. However, due to the purification chemistry, RNA molecules smaller than approximately 200 nucleotides are recovered with less efficiency. For purification of total RNA, including miRNA and other small RNA molecules of at least 18 nucleotides, use the PAXgene Tissue miRNA Kit.
FAQ-3615
Can proteins be extracted from PAXgene Tissue fixed specimens?
Yes. Supplementary protocols are available for the purification of full-length proteins from PAXgene Tissue fixed (PF) tissue and paraffin blocks using the Qproteome FFPE Tissue Kit (QIAGEN, cat. no. 37623). For more information, see the corresponding supplementary protocols under the Product Resources tab.
FAQ-3616
Which kits and protocols can be used to isolate nucleic acids from microdissected PAXgene Tissue fixed, paraffin-embedded (PFPE) and PAXgene Tissue fixed, cryo-embedded (PFCE) specimens?
PAXgene Tissue Kits can be used for extraction of RNA, miRNA and DNA from microdissected PFPE and PFCE tissue. Supplementary protocols developed specifically for the extraction of biomolecules from microdissected PFPE and PFCE samples are available under the Product Resources tab.
FAQ-3617
What is the PCR performance of DNA purified from PAXgene Tissue fixed, paraffin-embedded (PFPE) and PAXgene Tissue fixed, cryo-embedded (PFCE) tissue compared to DNA from snap frozen or formalin-fixed, paraffin-embedded (FFPE) tissue?
In contrast to FFPE, DNA purified from PFPE and PFCE is of high molecular weight, free of chemical modifications. In demanding downstream applications, such as multiplex or long-range PCR, it performs similarly or identically to DNA isolated from frozen tissue. For examples, see, Figure 5 in Viertler et al., J Mol Diagn. 2012 Sep; 14(5).
FAQ-3618
How is the quality of proteins purified from PAXgene Tissue fixed and stabilized tissue?
Proteins from PAXgene Tissue fixed, PAXgene Tissue fixed, paraffin-embedded (PFPE) and PAXgene Tissue fixed, cryo-embedded (PFCE) tissues are non-degraded, immunoreactive and have been successfully investigated by western blot analysis, reverse-phase protein arrays, two-dimensional gel electrophoresis (2D-PAGE), enzyme-linked immunosorbent assay (ELISA),and MALDI imaging mass spectrometry.
FAQ-3619